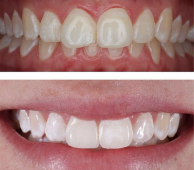
White spots and minor enamel defects can make a smile look uneven or unhealthy, often resulting from fluorosis, demineralization, post-orthodontic treatment, or early tooth decay. While traditional treatments like veneers or bonding require drilling and enamel removal, resin infiltration offers a completely non-invasive, painless, and highly effective alternative. At Gentle Dental Clinic, we provide advanced resin infiltration treatments that not only improve the aesthetics of your teeth but also help protect your enamel from further damage. This breakthrough technology blends seamlessly with your natural tooth structure, making it an ideal choice for patients seeking a quick and conservative cosmetic solution. Unlike traditional whitening treatments that only target surface stains, resin infiltration penetrates deep into the enamel to restore a smooth, uniform, and naturally radiant appearance without altering the structure of the tooth.
We offer a wide range of general dental care services to meet your unique needs and promote excellent oral health.




Taking care of your oral health starts with regular visits to a trusted dental clinic. Whether you need a routine check-up, a cavity filling, or gum disease treatment, Gentle Dental Clinic is here to help. Contact us today to schedule an appointment and experience the best in general dentistry services.
Book Appointment NowGot questions? We have answers
Resin infiltration is a minimally invasive procedure that helps treat early tooth decay and white spot lesions by filling demineralized areas with a special resin.
No, the procedure is painless as it doesn’t require drilling, shots, or removal of tooth structure.
Resin infiltration is a quick procedure, typically completed in one visit, usually lasting around 30 minutes to an hour.
The results are long-lasting, providing a durable solution to prevent further decay and improve the appearance of your teeth.