Your gums play a crucial role in the overall health and stability of your teeth, yet they are often overlooked until problems arise. Gum disease, excessive gum tissue, or receding gums can lead to discomfort, tooth loss, and even affect facial structure if left untreated. At Gentle Dental Clinic, we specialize in advanced gum surgery procedures designed to restore gum health, prevent further complications, and enhance the appearance of your smile.
Our Gum Surgery services at Gentle Dental Clinic treat gum disease, receding gums, and infections to restore oral health. We offer scaling & root planing, flap surgery, and gum grafting for improved gum structure and support. Our advanced techniques ensure minimally invasive, effective treatments for healthier gums and a confident smile.

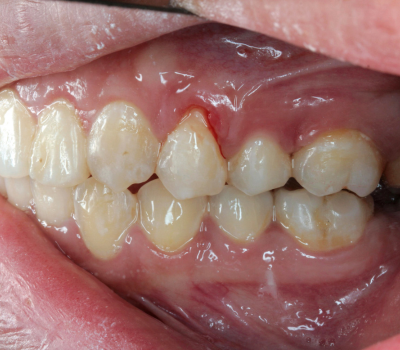
Flap Surgery (Gingival Flap Surgery) is an advanced treatment for severe gum disease, helping remove deep plaque and bacteria from below the gum line. At Gentle Dental Clinic, we use modern techniques to lift the gums, clean infected areas, and secure them back for better healing. This procedure reduces gum pockets, prevents tooth loss, and restores oral health. Book a consultation today for a healthier, stronger smile!

Gum Grafting is a specialized procedure to treat receding gums and protect exposed tooth roots. At Gentle Dental Clinic, we use advanced grafting techniques to restore gum tissue, improve aesthetics, and prevent further damage. This procedure reduces sensitivity, strengthens gums, and enhances your smile. Book a consultation today for healthier, natural-looking gums!

Laser Gum Surgery is a minimally invasive treatment for gum disease, receding gums, and infections. At Gentle Dental Clinic, we use advanced laser technology to remove infected tissue, reduce bacteria, and promote faster healing with less pain and bleeding. This procedure helps regenerate healthy gums, improve oral health, and enhance your smile. Book your appointment today for a gentle and effective gum treatment!
If you are experiencing gum disease, recession, or an uneven gum line, our expert gum surgery treatments provide the care and precision needed to restore your oral health and enhance your smile. At Gentle Dental Clinic, we combine modern technology, minimally invasive techniques, and personalized treatment plans to ensure safe, effective, and long-lasting results.
Book Appointment NowGot questions? We have answers
Most patients heal within one to two weeks, depending on the procedure. Minimally invasive laser treatments allow for faster recovery with minimal discomfort.
Most patients heal within one to two weeks, depending on the procedure. Minimally invasive laser treatments allow for faster recovery with minimal discomfort.
Yes! Treating advanced gum disease and gum recession through surgery helps protect the foundation of your teeth, reducing the risk of tooth loss.
Absolutely! Our precise surgical techniques ensure a natural, symmetrical gum line that enhances both oral health and smile aesthetics.