+9194676 02313
info@thegentledentalclinic.com
GENTLE DENTAL CLINIC

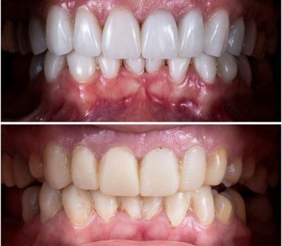
Transform Your Smile with Dental Veneers at Gentle Dental Clinic

A flawless smile can enhance confidence and leave a lasting impression. However, imperfections like chipped, stained, or misaligned teeth can affect the way you feel about your appearance. Dental veneers offer a long-lasting, natural-looking solution to these concerns, providing a bright, symmetrical, and perfectly shaped smile. At Gentle Dental Clinic, we specialize in customized veneer treatments that help you achieve a radiant and confident smile with minimal dental work.

Google Rating 5.0 ★★★★★ Based on 492 Reviews

Book Your Appointment

Our Dental Veneers Services

Dental veneers are thin, custom-made shells designed to cover the front surface of teeth, enhancing their shape, color, and alignment. They are a long-lasting solution for stained, chipped, misaligned, or gapped teeth, providing a natural and flawless smile. Made from high-quality materials like porcelain or composite resin, veneers offer durability and stain resistance while maintaining a natural appearance.

Children's Dentistry

Custom-Designed for a Natural and Seamless Look

Each veneer is individually tailored to match the natural shade and contours of your teeth, ensuring a flawless, lifelike appearance. Our dental specialists take precise digital impressions to design veneers that complement your facial structure, skin tone, and smile aesthetics. The result is a harmonious and radiant look that feels completely natural.

Children's Dentistry

Long-Lasting Results with Minimal Tooth Alteration

Unlike traditional crowns, which require extensive reshaping of the natural tooth, veneers preserve more of your original tooth structure while providing exceptional durability. With proper care, porcelain veneers can last 10–15 years, making them a long-term investment in your smile. Routine brushing, flossing, and dental check-ups help maintain their beauty and functionality for years to come.

Children's Dentistry

A Quick and Painless Smile Transformation

The veneer process is simple and typically completed in two to three visits. First, we conduct a comprehensive consultation to assess your dental health and discuss your goals. Next, a thin layer of enamel is gently reshaped to accommodate the veneers, followed by the placement of temporary veneers while your custom set is being created. Once your permanent veneers are ready, they are securely bonded to your teeth, giving you a beautiful, long-lasting smile with minimal discomfort.

Children's Dentistry

Aesthetic and Functional Benefits Beyond Beauty

While veneers are primarily a cosmetic solution, they also offer functional advantages by strengthening weak teeth and protecting them from further damage. They can help correct minor bite issues, prevent enamel wear, and create a uniform, well-balanced smile that enhances both appearance and oral health.

Book Your Appointment Today!

If you’re looking to enhance your smile with a durable, natural-looking solution, our team at Gentle Dental Clinic is here to help. With state-of-the-art technology and expert craftsmanship, we ensure that your veneers look and feel completely natural while providing long-lasting results.

Book Appointment Now

Frequently Asked Questions

Got questions? We have answers

How long do veneers last?

With proper care, porcelain veneers can last 10–15 years, while composite veneers typically last 5–7 years before needing replacement.

Are veneers stain-resistant?

Yes, porcelain veneers are highly resistant to stains from coffee, tea, wine, and smoking. Composite veneers, however, may be more prone to discoloration over time.

Can veneers fix crooked teeth?

For minor misalignment, veneers can create the appearance of straighter teeth. However, for severe crowding or bite issues, orthodontic treatment may be recommended.

Do veneers require special care?

No, maintaining veneers is easy—just follow regular brushing, flossing, and routine dental check-ups to keep them in top condition.