+9194676 02313
info@thegentledentalclinic.com
GENTLE DENTAL CLINIC

Restore Your Smilewith Our Custom Dental Bridges at Gentle Dental Clinic

Are you missing one or more teeth? Gaps in your smile can affect your confidence, speech, and ability to chew properly. At Gentle Dental Clinic, we offer custom dental bridges to restore your smile, bite function, and overall oral health. Our high-quality bridges are natural-looking, durable, and designed to blend seamlessly with your existing teeth.

Google Rating 5.0 ★★★★★ Based on 492 Reviews

Book Your Appointment

Our Dental Bridges Services

Are you struggling with missing teeth? At Gentle Dental Clinic, we offer custom dental bridges to restore your smile, confidence, and oral health. Our high-quality, natural-looking bridges provide a comfortable and long-lasting solution for replacing missing teeth, helping you eat, speak, and smile with ease.

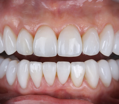
Dental Bridge

Restore Your Smile with a Strong & Natural-Looking Dental Bridge

Missing teeth can affect your smile, speech, and chewing ability, but dental bridges offer a permanent, natural-looking solution. A dental bridge consists of artificial teeth (pontics) that are supported by your natural teeth or dental implants. This restores your bite function while preventing surrounding teeth from shifting.

Benefits of Dental Bridges:

  • Restores Your Smile – Fills gaps for a natural, confident look.
  • Improves Speech & Chewing – Helps you eat and speak without difficulty.
  • Prevents Teeth from Shifting – Keeps your bite properly aligned.
  • Durable & Long-Lasting – Made from strong, high-quality materials.
  • Minimally Invasive Procedure – No surgery required (unless using implants).
Dental Bridge Types

Explore the Best Dental Bridge Options for Your Smile

Not all dental bridges are the same! Depending on your dental health, number of missing teeth, and jaw structure, you may need a specific type of bridge. At Gentle Dental Clinic, we provide the following options:

Types of Dental Bridges:

  • Traditional Bridges – Supported by dental crowns placed on adjacent natural teeth.
  • Implant-Supported Bridges – Anchored by dental implants for superior stability and longevity.
  • Cantilever Bridges – Used when only one natural tooth is available for support.
  • Maryland Bonded Bridges – A minimally invasive bridge with a metal or porcelain framework bonded to nearby teeth.
Dental Bridges vs Implants

Dental Bridges or Implants? Compare & Choose the Right Option for You

When replacing missing teeth, many people ask: Should I get a dental bridge or a dental implant? Here’s how they compare:

Dental Bridges:

  • Faster Procedure – Can be completed in a few weeks.
  • More Affordable – Lower upfront cost compared to implants.
  • Non-Surgical Option – Ideal for patients who prefer a less invasive treatment.

Dental Implants:

  • More Durable & Long-Lasting – Can last a lifetime with proper care.
  • Preserves Jawbone Health – Prevents bone loss after tooth extraction.
  • Independent Support – Does not rely on adjacent teeth for stability.

Book Your Appointment Today!

If you have a missing tooth, our expertly crafted dental bridges offer the perfect balance of durability, aesthetics, and function. At Gentle Dental Clinic, we take pride in creating high-quality, long-lasting restorations that seamlessly integrate with your natural smile. Our team is committed to providing a stress-free, comfortable experience while helping you regain confidence, proper chewing function, and long-term oral health.

Book Appointment Now

Frequently Asked Questions

Got questions? We have answers

How long does it take to complete a dental bridge treatment?

The process typically requires two to three visits over the course of a few weeks, depending on the type of bridge and any necessary preparatory treatments.

Will I experience pain during the procedure?

No, our bridge placement is designed to be comfortable and pain-free. We use local anesthesia to numb the area, and any mild soreness afterward can be managed with over-the-counter pain relievers.

Can a dental bridge improve my ability to chew?

Absolutely! Our custom dental bridges restore full chewing functionality, allowing you to eat comfortably without restrictions or difficulty.

Will my bridge look natural?

Yes! Our high-quality porcelain and ceramic bridges are custom-designed to match the shape, size, and color of your natural teeth, ensuring a seamless and realistic appearance.